Nagpur Next
Case of a rare lung disorder – ‘Pulmonary alveolar proteinosis’ – treated at KRIMS Hospital, Nagpur
A 60-year-old lady suffering from a rare lung disorder ? Pulmonary alveolar proteinosis (PAP)? – has been recently treated successfully by the Pulmonology Department of KRIMS Hospital, Nagpur.
What is Pulmonary alveolar proteinosis
Pulmonary alveolar proteinosis is a rare lung disease. Its incidence rate is one case per 50 lakh people. It is caused due to the accumulation of abnormal protein material called surfactant? inside the lungs. This leads to reduced oxygen gas exchange inside the lungs which ultimately leads to severe breathlessness.

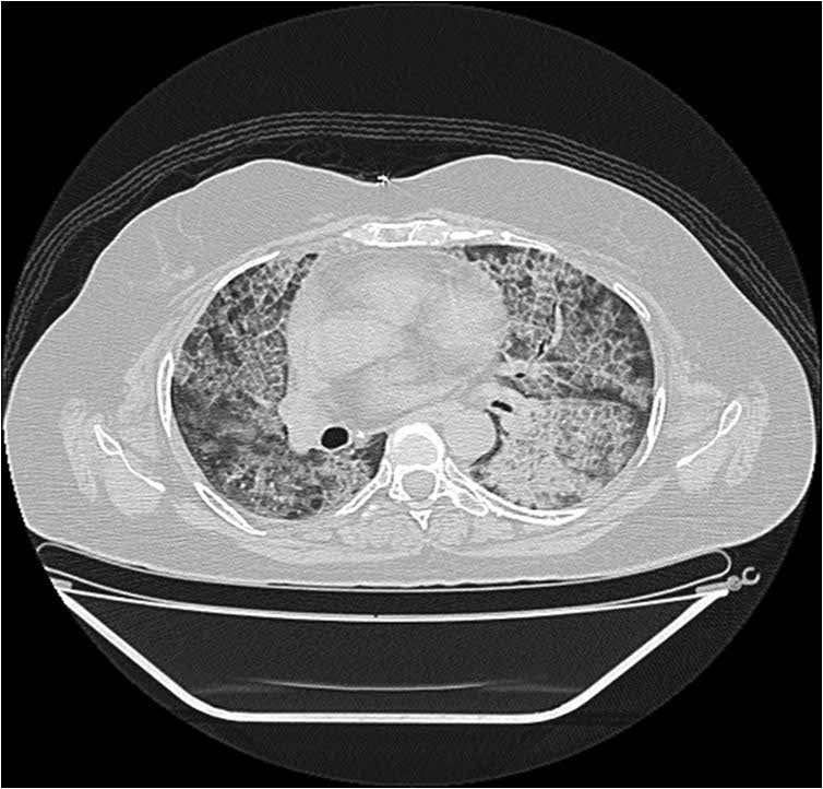
How is it diagnosed and treated
PAP is diagnosed through a variety of tests including x-rays, lung function test, CT scan and lung biopsy. Till today, there is no curative medicine which can reduce the protein deposition inside the lung. It is important to remove the protein from the lungs so that the patient can breathe normally. The process of removal of deposited protein from the lung is known as Whole Lung Lavage (WLL) and is the current standard treatment for PAP. This procedure is tedious and sometimes can be life threatening.
The case at KRIMS Hospital
When the 60-year-old lady at KRIMS hospital went through a CT scan, the doctors were suspicious of PAP. On doing the open lung biopsy, she was proven to be a case of PAP. At the time of diagnosis, she was unable to maintain oxygen saturation and her lung functions were very low. The team of doctors from KRIMS Hospital including Pulmonologists, Anesthetists and Physiotherapists then planned to perform WLL on this patient.

On September 30, she underwent WLL for left lung while her right lung was mechanically ventilated. A total of two liters of the proteinaceous fluid was successfully removed. The whole lung lavage procedure took three hours. The patient was discharged with improvement in her health and her oxygen requirement was dramatically reduced.
A repeat lavage was performed on November 4, after a month. This time the right lung was lavaged while the left lung was mechanically ventilated. Approximately seven litres of water was instilled with a return of six and a half litres. The procedure took four hours to complete. There is drastic change in the patient’s health and CT scans now. She is now able to walk on her own without oxygen support and her quality of life has improved.
The team of doctors involved in the second successful lavage included Pulmonologist Dr Ashok Arbat, Dr Sameer Arbat, Dr Mitesh Dave, Anesthetist Dr Daksha Mandhaniya, Dr Vaishali Shelgaokar along with Physiotherapists Dr Prajakta Borkar and Dr Pallavi Salodkar.
Nagpur Next
1st COVID-19 case in Ramdaspeth crops up near Cabinet Minister Vijay Wadettiwars residence

For the first time, a resident of Ramdaspeth tested positive for Coronavirus on Saturday. The patient, who is said to be residing in an apartment near Cabinet Minister for Relief and Rehabilitation in the Maha Vikas Aghadi and senior Congress leader Vijay Wadettiwars residence (behind Tuli Imperial), is said to be a middle-aged woman.
The patient is reportedly connected to a resident from Mominpura. However, nothing concrete as of now can be said about the same. More details are awaited.
Also read: Nagpur: 91 test positive in 24 hours making COVID-19 tally rise to 1266
Nagpur Next
Nagpur: 91 test positive in 24 hours making COVID-19 tally rise to 1266
Nagpur COVID-19 tally as on June 20 rose to 1266 after 91 people tested positive for the virus in past 24 hours. Out of the total 91, while 69 patients belonged to Naik Talao/Bangladesh, 11 from Shantinagar, four from Lashkaribagh, three from Ganeshpeth, one from Uppalwadi, one from Ramdaspeth, one from Mehendibagh and one belonged to Mominpura.
Out of the total, 823 have been cured and over 333 are currently being treated upon.
Also read: NMC Chief Tukaram Mundhe storms out of meeting after Corporator calls him blot on Saint Tukaram
Nagpur Next
Nagpur man discovers 4-month-old foetus in gutter; cops suspect illegal abortion
In yet another shocking incident, a resident named Rahul Tumane discovered a 4-month-old foetus lying in an abandoned condition behind his house (near plot number 13, behind Kajal Bar and Restaurant area) in Pardi inside a gutter.
Police inspector Sunil Chavan told Nation Next that a four-month-old foetus, wrapped in a cloth, was found lying inside a gutter near a house on Thursday night in Pardi. Chavan also informed that the foetus was sent for an autopsy to Mayo Hospital and the reports are awaited. Police have suspected the possibility of abandonment after an illegal abortion.
A case has been registered under Section 318 (Concealment of birth by secret disposal of a dead body) of the Indian Penal Code (IPC) on the basis of a complained filed by Tumane.
Also read: Nagpur: Zone 5 Police team seize four trucks carrying illegally mined sand
-
Health5 years ago
Amphoterecin B, used for treating black fungus, to now be manufactured in Nagpur
-
Social4 years agoPoliticians, businessmen shower blessings on Chandrashekhar Bawankule’s son Sanket at his wedding reception
-
Social4 years agoNagpur gets its first 7 am cafe ‘SEVEN O’ ELEVEN’ at Shraddhanand Peth
-
Social5 years ago
Nagpur: Shatrughan Sinha felicitates women journalists on International Womens Day
-
Who´s Partying Next To You9 years ago
Nagpur brings in 2017 in style at Gondwana Club
-
Parties4 years agoCouples have a blast, win awards at ‘Hollywood Oscar Night’ in Nagpur
-
Parties4 years agoFamily, friends ‘wine n dine’ at Dr Shilpa Mukherji’s birthday bash in Nagpur
-
Who´s Partying Next To You8 years ago
Party revelers make noise at Nagpur’s first silent party on New Year Eve at Gondwana Club
